Système de mammographie numérique 3Dimensions™

Le système de tomosynthèse mammaire qui allie la plus grande vitesse d’acquisition à la plus haute résolution du marché.1,*

    Présentation

    Documents

    Formation

    Présentation du système de mammographie numérique 3Dimensions

    Révélez les moindres détails grâce à l’examen 3D Mammography™, le plus rapide et de la plus haute résolution,1 en utilisant notre détecteur avancé et les technologies d’imagerie 3D™ innovantes qui permettent de détecter plus de cancers invasifs en toute confiance. Grâce à l’intégration de solutions supplémentaires optimisées par l’IA, le système 3Dimensions est la plateforme intelligente et complète qui prend en charge la détection du cancer du sein, l’optimisation du flux de travail et l’évaluation des risques.

    Sans compromis. Sans comparaison.

    Associez la performance cliniquement prouvée en matière de détection du cancer à une avancée majeure dans les soins personnalisés aux patientes. Le système 3D Mammography™ d’Hologic® offre tous les avantages de l’imagerie haute résolution, tout en transformant le ressenti des femmes pendant leur examen mammaire.2

    Une meilleure détection

    Les résultats de la tomosynthèse ont prouvé qu’elle permettait de détecter jusqu’à 65 % de cancers du sein invasifs de plus que la 2D seule.3,**

    Évaluation des risques

    L’examen 3D Mammography d’Hologic est le premier système de tomosynthèse mammaire numérique à avoir été approuvé par la FDA*, et il affiche une supériorité pour les femmes ayant des seins denses par rapport à la 2D seule.4-9

    Confiance clinique

    Une technologie éprouvée, avec plus de 200 études démontrant l’efficacité clinique de l’examen, pour plus de confiance dans votre pratique quotidienne.2

    Confort de la patiente

    Il est cliniquement prouvé que la mammographie est plus confortable.10

    Illustration du continuum des soins de santé mammaire d’Hologic avec la radiologie

    Déverrouillez les avantages du temps

    Le continuum de soins en santé mammaire offre des solutions intégrées pour une plus grande fiabilité clinique, une efficacité du flux de travail et des soins attentionnés aux patientes. Il permet à plus de femmes de vivre plus longtemps en meilleure santé.

    Le système de mammographie numérique 3Dimensions fait partie de la solution de dépistage et de diagnostic d’Hologic.

    Des preuves, pas des promesses

    La technologie innovante 3D Mammography d’Hologic donne des résultats d’examen plus précis que la mammographie 2D seule3,** et s’avère plus confortable.10,** Cette technologie vous permet de détecter le cancer du sein en toute confiance et d’améliorer les soins prodigués à vos patientes.

    3,7 secondes

    Le temps d’acquisition de la tomosynthèse la plus rapide du secteur1,5

    40 % de réduction

    du nombre de rappels par rapport à la 2D seule3,11,12

    Plus de 9 000

    systèmes de tomosynthèse installés dans le monde, et ce n’est pas fini

    Une imagerie plus précise, plus intelligente et plus simple

    Le système de mammographie 3Dimensions fonctionne avec la toute dernière technologie de tomosynthèse intelligente, qui combine l’imagerie haute résolution Clarity HD™, l’imagerie synthétique Intelligent 2D™ et 3DQuorum™ SmartSlices pour un flux de travail efficace.

    Système de mammographie numérique 3Dimensions sur fond sombre
    Femme demandant des informations au réceptionniste du service d’imagerie mammaire d’un hôpital

    Visitez notre hôpital virtuel

    Parcourir notre portfolio de solutions de santé mammaire en 3D. Découvrez comment vous pouvez exploiter le gain de temps sur l’ensemble du continuum de soins en santé mammaire.

    De multiples améliorations disponibles

    Images cliniques

    Images cliniques d’une mammographie
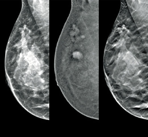
    Images cliniques d’une mammographie avec lésion suspecte
    Images cliniques d’une mammographie avec lésion suspecte
    Images cliniques d’une mammographie
    Images cliniques d’une mammographie sur un sein graisseux

    Preuves. Connaissances. Collaboration.

    Notre portail dédié à la formation contribue à l’amélioration des soins aux patients grâce à du contenu de qualité, à la diffusion de preuves cliniques et scientifiques, et à la collaboration avec la communauté médicale.

    Perspectives

    Des radiologues examinant une mammographie par tomosynthèse sur un écran Des radiologues examinant une mammographie par tomosynthèse sur un écran

    Résultats de l’étude ToSyMa, un avenir en 3D pour le dépistage du cancer du sein

    Femme assise devant un mammographe avec une professionnelle de santé à ses côtés. Femme assise devant un mammographe avec une professionnelle de santé à ses côtés.

    Programmes de dépistage du cancer du sein et du col de l'utérus, aujourd'hui et dans le futur

    Femmes riant sur une plage Femmes riant sur une plage

    L’indice mondial de la santé des femmes d’Hologic exploite la puissance des données pour promouvoir la santé des femmes

      Références :
      *Par rapport à d’autres modèles standards.
      **« Dépistage du cancer du sein avec utilisation de la tomosynthèse combinée à la mammographie numérique. » JAMA 311.24 (2014): 2499-2507 ; étude de contrôle historique multicentrique (13), non randomisée, portant sur 454 000 mammographies de dépistage et examinant l’impact initial de l’introduction du système Selenia® Dimensions® d’Hologic sur les résultats du dépistage. Les résultats individuels peuvent varier. L’étude a constaté une augmentation moyenne de 41 % (IC de 95 % : 20-65 %) des cancers invasifs du sein détectés, soit une différence de 1,2 pour 1 000 cas (IC de 95 % : 0,8-1,6), obtenue en associant les mammographies FFDM 2D et 3D™ grâce au système 3D Mammography™ d’Hologic, par rapport à une mammographie FFDM 2D seule.
      1. Rocha Garcia, A.M., Mera Fernandez, D. Breast tomosynthesis: State of the art. Radiologia. 2019;61(4):274-285 
      2. Bibliographie de la tomosynthèse : (PDF) Bibliographie de la 3D Mammography™ - Hologic Education (consulté en nov. 2022)
      3. Friedewald SM., Rafferty EA, Rose SL., et al. Breast cancer screening using tomosynthesis in combination with digital mammography. JAMA. 2014 Jun 25;311(24):2499-507.
      4. FDA approves Hologic's 3D digital breast tomosynthesis system https://www.auntminnie.com/clinical-news/womens-imaging/breast/article/15598333/fda-approves-hologics-3d-digital-breast-tomosynthesis-system (dernière consultation en ligne le février 2025).
      5. Lai Y-C, Ray KM, Mainprize JG, et al. Digital Breast Tomosynthesis: Technique and Common Artifacts. Journal of Breast Imaging 2020;2:615-28.
      6. Rafferty EA, Durand MA, Conant EF, et al. Breast Cancer Screening Using Tomosynthesis and Digital Mammography in Dense and Nondense Breasts. JAMA. 2016 Apr 26;315(16):1784-6. doi: 10.1001/jama.2016.1708. PMID: 27115381
      7. Mariscotti G, Durando M, Martincich L, et al. Comparative Study with Digital Mammography (DM) vs. DM Combined with Digital Breast Tomosynthesis (DBT) for the Detection of Invasive Lobular Carcinoma (ILC). RSNA 2013 Abstract SSE02-02.
      8. Bernardi D, Macaskill P, Pellegrini M, et al. Breast cancer screening with tomosynthesis (3D mammography) with acquired or synthetic 2D mammography compared with 2D mammography alone (STORM-2): a population-based prospective study. Lancet Oncol. 2016 Aug;17(8):1105-1113. doi: 10.1016/S1470-2045(16)30101-2. Epub 2016 Jun 23. PMID: 27345635.
      9. Gilbert FJ, Tucker L, Gillan MGC, et al.Accuracy of Digital Breast Tomosynthesis for Depicting Breast Cancer Subgroups in a UK Retrospective Reading Study (TOMMY Trial). Radiology 2015;277:697-706.
      10. Données internes : DHM-06039 Rev 002
      11. Rose SL, Tidwell AL., Bujnoch LJ., et al. Implementation of breast tomosynthesis in a routine screening practice: an observational study. AJR AmJ Roentgenol. 2013;200(6):1401-1408
      12. Haas BM., Kalra V., Geisel J., et al. Comparison of tomosynthesis plus digital mammography and digital mammography alone for breast cancer screening. Radiology 2013;269:694-700. 
      13. Hooley RJ., Durand MA., Philpotts LE., et al. Advances in Digital Breast Tomosynthesis. AJR 2017;208:256-266
      14. Zuckerman SP., Conant EF., Keller BM., et al. Implementation of Synthesized Two-dimensional Mammography in a Population-based Digital Breast Tomosynthesis Screening Program. Radiology 2016;281:730-737.
       
      Usage préconisé : Le système Hologic 3Dimensions génère des images mammographiques numériques pouvant être utilisées pour le dépistage et le diagnostic du cancer du sein. Le système 3Dimensions (2D ou 3D) est destiné aux mêmes applications cliniques qu'un système de mammographie 2D pour les mammographies de dépistage. Le système 3Dimensions peut être utilisé pour générer des images mammographiques numériques en 2D ou 3D. 
      Chaque examen de dépistage peut comprendre les éléments suivants : 
      • un jeu d'images de MNPC en 2D, ou 
      • un jeu d'images 2D et 3D, où l'image 2D peut être soit une image MNPC soit une image 2D générée à partir du jeu d'images 3D, et où le jeu d'images 3D peut être visualisé soit en coupes 3D de 1 mm soit en SmartSlices 3D de 6 mm. 
      li est également possible d'utiliser le système 3Dimensions lors d'examens diagnostiques complémentaires du sein.
      Classe : Dispositif médical de Classe IIb.
      Fabricant : Hologic, Inc.
      Lire attentivement les instructions figurant dans le manuel d’utilisation.

      Fiches de sécurité

      2797

      Hologic BV, Da Vincilaan 5, 1930 Zaventem, Belgium.

      Numéro de l’organisme notifié, le cas échéant

      Ce site Internet est exclusivement réservé aux professionnels de santé
      Date de la dernière mise à jour du site Internet 9 janvier 2026
      172 Rue de Charonne, Le Dorian - Bât B2, 75011 Paris, France