Système Horizon® DXA

Prenez des décisions éclairées en matière de diagnostic et de traitement en toute confiance. Offrez à vos patients les soins efficaces dont ils ont besoin pour maintenir la vie en mouvement.

Patiente allongée sur une table d’examen dans un laboratoire

    Présentation

    Documents

    Formation

    Un système DXA qui en fait plus

    Le système Horizon DXA d’Hologic génère les images haute résolution, nettes et précises dont vous avez besoin pour évaluer avec exactitude la densité osseuse, les risques de fracture, la composition corporelle et la calcification de l’aorte abdominale. Tout cela au cours d’un seul examen. Il associe toute une série de technologies exclusives de pointe qui participent à vous donner une image précise de ce qui se passe à l’intérieur du corps du patient, quel que soit sa taille1 ou son état de santé.

    Des images remarquables pour une vie plus riche

    Lorsque la santé de vos patients est entre vos mains, vous devez pouvoir compter sur des images de qualité optimale afin de déterminer leur densité minérale osseuse, localiser les fractures de façon précise, identifier les calcifications aortiques ou mesurer leur composition corporelle.

    Technologie haute définition

    Son nouvel ensemble de capteurs multiéléments intègre la même technologie haute définition que celle des dispositifs de scanners les plus modernes. Il vous permet de capturer des images extrêmement détaillées sur lesquelles vous pouvez vous appuyer, notamment pour dépister des patients obèses ou de grande taille. Grâce à sa technologie polyvalente, vous avez la possibilité d’évaluer un large éventail d’états cliniques avec rapidité et précision.

    Facile à utiliser

    Le système est rapide à comprendre et simple à utiliser, grâce à une interface utilisateur graphique qui rationalise le processus d’examen du début à la fin. Mieux encore, nous avons intégré une batterie d’outils innovants pour améliorer le flux de travail, accélérer la productivité et faciliter la communication et la collaboration avec les autres médecins, où qu’ils soient.

    Un meilleur ressenti pour les patientes

    Grâce à cette plateforme unique et complète, vous serez en mesure d’évaluer de nombreuses maladies chroniques en une seule consultation. Vos patients bénéficient d’un confort, d’un examen rapide et d’une faible dose de rayons X, d’une part et de l’autre, vous proposez un large éventail de services.

    Augmentation du nombre de patients pris en charge

    L’ensemble de capteurs travaille de concert avec un nouveau générateur de rayons X extrêmement puissant qui permet d’augmenter la capacité de charge thermique pour une plus longue durée de vie, sans délais de refroidissement. Cela permet non seulement d’augmenter le nombre de patients pris en charge mais aussi d’améliorer la qualité des images. La remarquable haute résolution des images générées par le système a pour but d’enrichir la vie des patients et la vôtre.*

    Graphique du continuum des soins

    Déverrouillez les avantages du temps

    Le continuum de soins en santé mammaire offre des solutions intégrées pour une plus grande fiabilité clinique, une efficacité du flux de travail et des soins attentionnés aux patientes. Il permet à plus de femmes de vivre plus longtemps en meilleure santé. 

    En plus des autres applications cliniques, le système Horizon DXA fait partie de la solution de santé métabolique.

    Maintenir la vie en mouvement

    Ces chiffres sont éloquents quant aux effets dévastateurs des maladies chroniques. Ils indiquent aussi une demande croissante en matière de dépistage fiable, de détection précoce et de soins personnalisés pour aider les personnes dans le monde à vivre plus longtemps et en meilleure santé.

    Après 50 ans

    1 femme sur 3 et 1 homme sur 5 souffriront d’une fracture de fragilisation2

    17 millions

    de personnes dans le monde mourront d’une maladie cardiovasculaire cette année3

    39 %

    des adultes ont été définis comme étant en surpoids ou obèses au niveau mondial4

    Visitez notre hôpital virtuel

    Découvrez nos solutions en 3D au sein du service virtuel de santé osseuse et dans la salle de santé osseuse et métabolique.

    Image de l’intérieur d’un hôpital virtuel montrant un service de santé osseuse

    Une solution pour de multiples applications

    Images cliniques

    Un ressenti agréable pour les patients

    • Un rendez-vous rapide de 10 minutes avec des examens de la hanche et du rachis.31
    • Les patients sont allongés sur une table confortable et matelassée.
    • Pas d’injections, non invasif et indolore.
    • Aucune préparation n’est nécessaire, si ce n’est le port de vêtements confortables sans objets en métal.
    • Radiographie à très faible dose, équivalente à moins d’une journée de rayonnement naturel.31
    Patiente allongée sur une table d’examen dans un laboratoire.

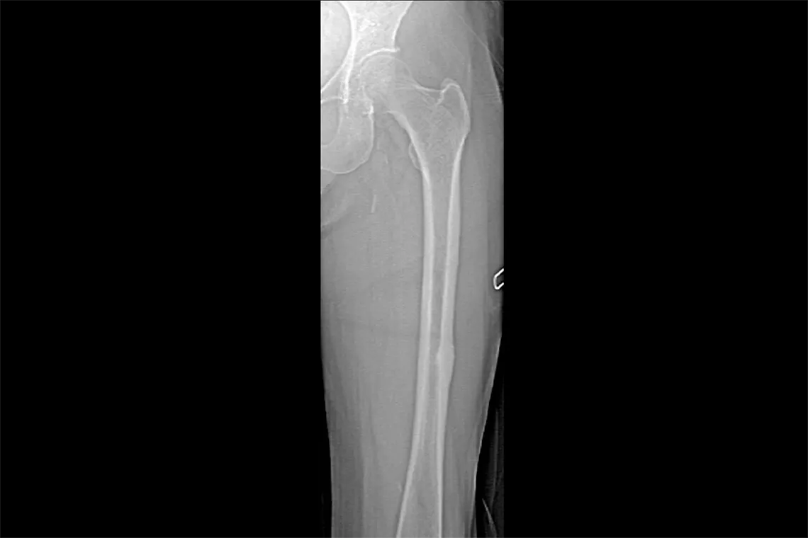
    Un système qui en fait plus

      Horizon DXA produit des images de qualité radiographique de l’ensemble du fémur pour l’évaluation des éventuelles fractures atypiques du fémur.31 Une acquisition rapide de 15 secondes révèle l’épaississement du cortex de l’os, ce qui permet de surveiller rapidement et facilement les effets d’un traitement aux bisphosphonates au fil du temps.

      Visualisez une plaque calcifiée dans l’aorte abdominale, qui peut être un signe important de maladie cardiaque et d’accident vasculaire cérébral, deux des principales causes de décès chez les hommes et les femmes.

      Évaluez le risque de fracture en associant une mesure précise de la densité osseuse à une imagerie vertébrale haute résolution. Vous pouvez identifier les fractures vertébrales en 10 secondes, à l’aide d’une image « à simple énergie » faiblement dosée.

      Améliorez la précision et réduisez les erreurs d’analyse post-examen grâce à un positionnement précis et assisté par logiciel des espaces intervertébraux pour l’analyse graphique.

      Le système d’étalonnage dynamique breveté d’Hologic permet un étalonnage pixel par pixel basé sur les os et tissus équivalents pour une précision supérieure sur le long terme.32

      Une nouvelle matrice de détecteurs céramiques numériques à haute résolution est associée à une véritable géométrie d’acquisition en éventail pour permettre des mesures rapides de densité osseuse à double énergie en une seule acquisition. OnePass élimine les erreurs de chevauchement et de distorsion des images des techniques d’acquisition rectilinéaire, offrant une qualité supérieure des images et une meilleure stabilité des données. Une autre exclusivité Hologic.

      L’interface graphique innovante simplifie le réglage des paramètres du patient, l’acquisition, l’archivage des images et le transfert des données afin d’améliorer votre flux de travail et la satisfaction du patient.

      La fonctionnalité MXApro™ du logiciel d’exploitation APEX™ classe automatiquement les déformations vertébrales et communique les données directement dans la fonction de diagnostic intégrée Physician’s Report Writer™. Cela signifie que vous pouvez accélérer le flux de travail grâce à l’interprétation intégrée, sans papier et à distance, et à la création de rapports en un clic. Vous pouvez afficher et interpréter les images et les informations où que vous soyez et sur n’importe quel dispositif.

      La suite IRIS™ Enterprise Connectivity est la clé d’une véritable densitométrie sans papier. Stockez les images sur votre PACS et téléchargez directement les informations démographiques et les données d’examens depuis votre système SIH vers l’ostéodensitomètre afin de réduire les erreurs et les coûts. Vous pouvez aussi envoyer des fichiers DICOM de DMO et d’Instant Vertebral Assessment™ vers le programme Hologic Physicians Viewer™ et le PACS puis transmettre les rapports vers votre SIH/SIR et le dossier médical via HL7. Notre logiciel optionnel DB Sync™ vous permet même de partager des données entre les ostéodensitomètres de différents sites.

      Réduisez les interventions de l’opérateur de 25 % grâce aux procédures complètement automatisées de positionnement du patient et d’acquisition. Le logiciel Express Exam™ vous guide pas à pas tout au long du processus.

      Preuves. Connaissances. Collaboration.

      Notre portail dédié à la formation contribue à l’amélioration des soins aux patients grâce à du contenu de qualité, à la diffusion de preuves cliniques et scientifiques, et à la collaboration avec la communauté médicale.

      Perspectives

      Des radiologues examinant une mammographie par tomosynthèse sur un écran Des radiologues examinant une mammographie par tomosynthèse sur un écran

      Résultats de l’étude ToSyMa, un avenir en 3D pour le dépistage du cancer du sein

      Femme assise devant un mammographe avec une professionnelle de santé à ses côtés. Femme assise devant un mammographe avec une professionnelle de santé à ses côtés.

      Programmes de dépistage du cancer du sein et du col de l'utérus, aujourd'hui et dans le futur

      Femmes riant sur une plage Femmes riant sur une plage

      L’indice mondial de la santé des femmes d’Hologic exploite la puissance des données pour promouvoir la santé des femmes

        Références :
        *Comparé aux modèles précédents
        **Autorisation de la FDA 510K K023398, K041226, K042480, K130277 (AFF), K113356 (VAT), K103265 (Whole Body), K072847 (AAC), K060111 (AAC)
        1. Patient weight up to 227kg (500 pounds), MAN-04871 Rev 014 (10/2021)
        2. www.osteoporosis.foundation/facts-statistics/epidemiology-of-osteoporosis-and-fragility-fractures, consulté le 3 janvier 2023.
        3. www.who.int/news-room/fact-sheets/detail/cardiovascular-diseases-(cvds), consulté le 3 janvier 2023
        4. www.who.int/news-room/fact-sheets/detail/obesity-and-overweight, consulté le 3 janvier 2023
        5. Johnell O and Kanis JA (2006) An estimate of the worldwide prevalence and disability associated with osteoporotic fractures. Osteoporos Int 17:1726.
        6. www.osteoporosis.foundation/facts-statistics/epidemiology-of-osteoporosis-and-fragility-fractures, consulté le 3 janvier 2023.
        7. Keene, G.S., M.J. Parker, and G.A. Pryor, Mortality and morbidity after hip fractures. BMJ, 1993. 307(6914): p. 1248-50
        8. Borgström F, Karlsson L, Ortsäter G, et al. International Osteoporosis Foundation. Fragility fractures in Europe: burden, management and opportunities. Arch Osteoporos. 2020 Apr 19;15(1):59. doi: 10.1007/s11657-020-0706-y. 
        9. https://www.osteoporosis.foundation/facts-statistics/epidemiology-of-osteoporosis-and-fragility-fractures - Consulté le 3 janvier 2023
        10. NIH, NHLBI Obesity Education Initiative. Clinical Guidelines on the Identification, Evaluation, and Treatment of Overweight and Obesity in Adults. / Kelly TL, Wilson KE, Heymsfield SB (2009) Dual energy X-Ray absorptiometry body composition reference values from NHANES.
        11. Cruz-Jentoft A.J., Baeyens J.P., Bauer J.M. et al. Sarcopénie : European consensus on definition and diagnosis: Report of the European Working Group on Sarcopenia in Older People, Age and Ageing, Volume 39, Issue 4, July 2010, Pages 412–42
        12. Marques A. & Queiros C. Frailty, Sarcopenia and Falls. In: Hertz, K., Santy-Tomlinson, J. (eds) Fragility Fracture Nursing. Perspectives in Nursing Management and Care for Older Adults. Springer, Cham. https://doi.org/10.1007/978-3-319-76681-2_2
        13. Baumgarner R.N., Koehler K.M., Romero L. et al. Epidemiology of Sarcopenia among elderly in New Mexico. Am J 1998;147: 755-63
        14. Baumgarner R.N. Body Composition in Healthy aging ANN N Y Acad Sci 2000:904:437-48
        15. Hadji P, Aapro MS, Body JJ, et al. Management of Aromatase Inhibitor-Associated Bone Loss (AIBL) in postmenopausal women with hormone sensitive breast cancer: Joint position statement of the IOF, CABS, ECTS, IEG, ESCEO IMS, and SIOG. J Bone Oncol. 2017 Mar 23;7:1-12. doi: 10.1016/j.jbo.2017.03.001. 
        16. Eastell R, Adams JE, Coleman RE, et al. Effect of anastrozole on bone mineral density: 5-year results from the anastrozole, tamoxifen, alone or in combination trial 18233230. J Clin Oncol. 2008 Mar 1;26(7):1051-7. doi: 10.1200/JCO.2007.11.0726. 
        17. Iyengar NM, Arthur R, Manson JE, et al. Association of Body Fat and Risk of Breast Cancer in Postmenopausal Women With Normal Body Mass Index: A Secondary Analysis of a Randomized Clinical Trial and Observational Study. JAMA Oncol. 2019 Feb 1;5(2):155-163. doi: 10.1001/jamaoncol.2018.5327. 
        18. Ballard-Barbash R, Schatzkin A, Carter CL, et al. Body fat distribution and breast cancer in the Framingham Study. J Natl Cancer Inst. 1990 Feb 21;82(4):286-90. doi: 10.1093/jnci/82.4.286. 
        19. E V Bandera, E M Johnl. Obesity, Body Composition, and Breast Cancer: An Evolving Science JAMA Oncol. 2018 Jun 1;4(6):804-805. doi: 10.1001/jamaoncol.2018.0125
        20. Freedman RJ, Aziz N, Albanes D, et al. Weight and body composition changes during and after adjuvant chemotherapy in women with breast cancer. J Clin Endocrinol Metab. 2004 May;89(5):2248-53. doi: 10.1210/jc.2003-031874. 
        21. Battisti S, Guida FM, Coppa F, et al. Modification of abdominal fat distribution after aromatase inhibitor therapy in breast cancer patients visualized using 3-D computed tomography volumetry. Clin Breast Cancer. 2014 Oct;14(5):365-70. doi: 10.1016/j.clbc.2014.02.003. Epub 2014 Mar 6. 
        22. https://www.europadonna.org/breast-cancer/#:~:text=1%20in%2011%20women%20in,younger%20than%2050%20years%20old*, consulté le 13 février 2023
        23. https://www.worldosteoporosisday.org/about-osteoporosis, consulté le 13 février 2023
        24. Kolb R, Zhang W. Obesity and Breast Cancer: A Case of Inflamed Adipose Tissue. Cancers (Basel). 2020 Jun 25;12(6):1686. doi: 10.3390/cancers12061686. PMID: 32630445; PMCID: PMC7352736.
        25. Han J., Harrison L., Patzelt L., et al. Imaging modalities for diagnosis and monitoring of cancer cachexia. EJNMMI Res. 2021 Sep 23;11(1):94. doi: 10.1186/s13550-021-00834-2. PMID: 34557972; PMCID: PMC8460705.
        26. Bailey DA, McKay HA, Mirwald RL, et al. A six-year longitudinal study of the relationship of physical activity to bone mineral accrual in growing children: the university of Saskatchewan bone mineral accrual study. J Bone Miner Res. 1999 Oct;14(10):1672-9. doi: 10.1359/jbmr.1999.14.10.1672. 
        27. Matkovic Timing of peak bone mass in Caucasian females and its implication or the prevention of Osteoporosis J Clin Invest 1994; 93,799-808
        28. Current Clinical Practice: Bone Densitometry in Growing Patients: Guidelines for Clinical Practice Edited by: A. J. Sawyer, L. K. Bachrach, and E. B. Fung © Humana Press Inc., Totowa, NJ
        29. www.who.int/news-room/fact-sheets/detail/ageing-and-health#:~:text=The%20pace%20of%20population%20ageing,from%2012%25%20to%2022%25. Consulté le 13 février
        30. Sousa A.S., Guerra R.S., Fonseca I. et al. Financial impact of sarcopenia on hospitalization costs. Eur J Clin Nutr. 2016 Sep;70(9):1046-51. doi: 10.1038/ejcn.2016.73. Epub 2016 May 11.
        31. Guide de l’utilisateur Horizon MAN-08072-002 Rev 003
        32. Hangartner TN. A study of the long-term precision of dual-energy x-ray absorptiometry bone densitometers and implications for the validity of the least-significant-change calculation. Osteoporosis Int. 2007 Apr;18(4); 513-23
         
        Usage préconisé : Le système Horizon DXA d'Hologic génère des images utilisées pour évaluer la densité osseuse, les risques de fracture, la composition corporelle et la calcification de l'aorte abdominale au cours d'un seul examen.
        Classe : Dispositif médical de Classe IIb.
        Fabricant : Hologic, Inc.
        Lire attentivement les instructions figurant dans le manuel d’utilisation.

        2797
        0482

        Hologic BV, Da Vincilaan 5, 1930 Zaventem, Belgium.

        Numéro de l’organisme notifié, le cas échéant
        Information du représentant CE, le cas échéant

        Ce site Internet est exclusivement réservé aux professionnels de santé
        Date de la dernière mise à jour du site Internet 9 janvier 2026
        172 Rue de Charonne, Le Dorian - Bât B2, 75011 Paris, France