Technologie Quantra™

Standardisation de l’analyse de la densité mammaire grâce à l’apprentissage automatique sur le lieu de soins.

Technologie Quantra™ d’Hologic

    Présentation

    Documents

    Formation

    Standardisez l’analyse de la densité mammaire

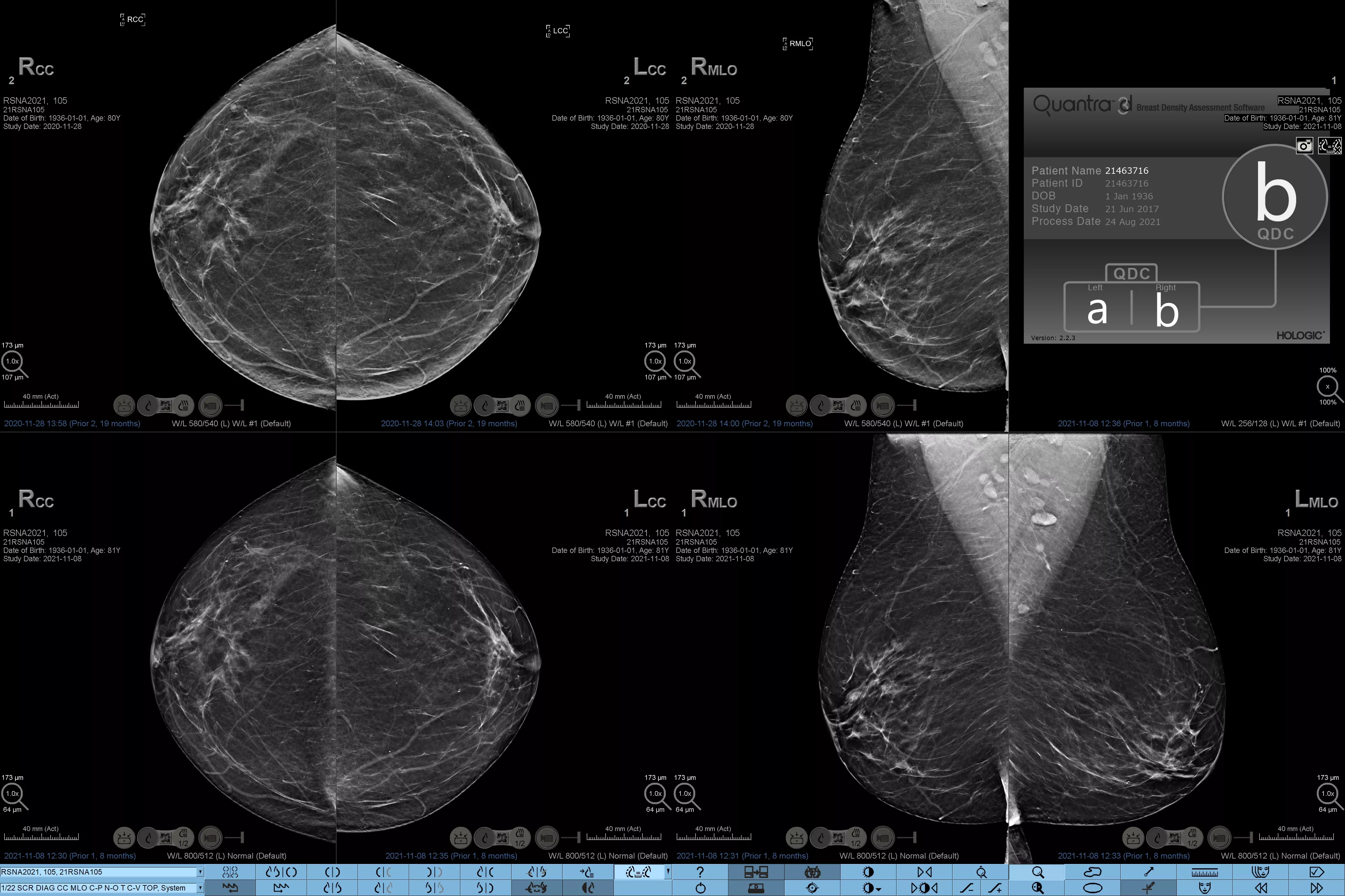
    On sait qu’une densité mammaire plus élevée augmente le risque de cancer du sein chez la femme.1 Une analyse précise et objective s’avère donc primordiale. Optimisé par l’apprentissage automatique, le logiciel de la technologie Quantra analyse les images 2D™ et de tomosynthèse pour déterminer la distribution et la texture du tissu parenchymateux. Il classe les seins selon quatre catégories de composition, conformément aux recommandations de l’American College of Radiology (ACR) BI-RADS Atlas 5th Edition.2

    Une meilleure prédiction des risques

    Outre le volume, la texture et l’anatomie des tissus fibroglandulaires peuvent aussi jouer un rôle important dans la prédiction du risque de cancer du sein.3-5 En analysant et en classant chaque texture et anatomie du sein, notre technologie peut fournir les informations précises nécessaires pour obtenir une quantification plus cohérente et fiable afin d’établir en toute confiance des dépistages propres à chaque patiente.

    Une évaluation impartiale

    Un algorithme d’apprentissage automatique objectif attribue une catégorie de densité mammaire sur la base de l’analyse de la texture et de l’anatomie du tissu mammaire.

    Standardisation

    Améliorez la qualité des soins et uniformisez les rapports transmis dans l’ensemble du cabinet de radiologie.

    Un parcours plus fluide pour les patientes

    Affichage de la densité sur la station d’acquisition pour faciliter les protocoles de prise en charge des patientes en vue d’une éventuelle imagerie supplémentaire.

    Illustration du continuum des soins de santé mammaire d’Hologic avec la radiologie

    Déverrouillez les avantages du temps

    Le continuum de soins en santé mammaire offre des solutions intégrées pour une plus grande fiabilité clinique, une efficacité du flux de travail et des soins attentionnés aux patientes. Il permet à plus de femmes de vivre plus longtemps en meilleure santé.

    La technologie Quantra fait partie de la solution de dépistage et de diagnostic d’Hologic.

    Exigences de conception et performances cliniques

    L’algorithme objectif du logiciel Quantra analyse les images 2D et de tomosynthèse pour prendre en charge votre analyse en :

    • Supprimant la subjectivité liée à l’évaluation visuelle, pour fournir une quantification plus cohérente et fiable.*
    • Améliorant la qualité des soins et en uniformisant les rapports.
    • Fournissant des protocoles de prise en charge des patientes pour l’imagerie supplémentaire.
    Images de mammographies
    Femme se présentant à la réception du service d’imagerie mammaire d’un hôpital pour un dépistage et un diagnostic

    Visitez notre hôpital virtuel

    Parcourir notre portfolio de solutions de santé mammaire en 3D. Découvrez comment vous pouvez exploiter le gain de temps sur l’ensemble du continuum de soins en santé mammaire.

    Solutions logicielles intégrées optimisées par l’IA d’Hologic

    Nos produits sont conçus pour fonctionner ensemble et peuvent être adaptés à vos besoins. Notre suite de solutions d’IA intégrées et évolutives a été conçue pour améliorer le dépistage et le diagnostic précoces du cancer du sein, accélérer le flux de travail et permettre de personnaliser les soins aux patientes, avec une évaluation automatisée de la densité mammaire. Discutez de vos besoins cliniques avec notre équipe expérimentée afin de trouver la solution qui vous convient.

    Catégories de
    risques8

    Preuves. Connaissances. Collaboration.

    Notre portail dédié à la formation contribue à l’amélioration des soins aux patients grâce à du contenu de qualité, à la diffusion de preuves cliniques et scientifiques, et à la collaboration avec la communauté médicale.

    Perspectives

    Des radiologues examinant une mammographie par tomosynthèse sur un écran Des radiologues examinant une mammographie par tomosynthèse sur un écran

    Résultats de l’étude ToSyMa, un avenir en 3D pour le dépistage du cancer du sein

    Femme assise devant un mammographe avec une professionnelle de santé à ses côtés. Femme assise devant un mammographe avec une professionnelle de santé à ses côtés.

    Programmes de dépistage du cancer du sein et du col de l'utérus, aujourd'hui et dans le futur

    Femmes riant sur une plage Femmes riant sur une plage

    L’indice mondial de la santé des femmes d’Hologic exploite la puissance des données pour promouvoir la santé des femmes

      Références :
      *Les scores sont basés sur les catégories de l’ACR BI-RADS, conformément aux recommandations révisées par l’American College of Radiation (ACR) BI-RADS Atlas 5th Edition. Cela permet de tenir compte de l’anatomie et de la texture, par rapport au volume, lors de la détermination de la densité.
      **Sur la base de 8 heures par jour dédiées à l’interprétation des images.
      1. Rafferty EA, Durand MA, Conant EF, et al. Breast Cancer Screening Using Tomosynthesis and Digital Mammography in Dense and Nondense Breasts. JAMA. 2016 Apr 26;315(16):1784-6.
      2. ACR BI-RADS Atlas, 5th Edition. Disponible à l’adresse suivante : https://www.acr.org/Clinical-Resources/Reporting-and-Data-Systems/Bi-Rads (Consulté en Nov. 2019)
      3. Zuley M, Guo B, Catullo V, et al. “Comparison of Two-dimensional Synthesized Mammograms versus Original Digital Mammograms Alone and in Combination with Tomosynthesis Images.” Radiology. 2014 Jun;271(3):664-71. Epub 2014 Jan 21
      4. Durand M, Raghu M, Geisel J, et al. “Synthesized 2D Mammography + Tomosynthesis: Can We See Clearly?” (document présenté à l’occasion de la réunion annuelle de la Radiological Society of North America, Chicago, IL, en décembre 2015).
      5. Choi J, Han B, Ko E, et al. “Comparison with Two-Dimensional Synthetic Mammography Reconstructed from Digital Breast Tomosynthesis and Full Field Digital Mammography for the Detection of T1 Breast Cancer.” European Radiology. 2016 Aug;26(8):2538-46. Epub 2015 Dec.
      6. Données internes Hologic : DHM-08611 Rev 006.
      7. Données internes : Clinical Study Report CSR-00116 Rev 004.
      8. Catégories de composition du sein décrites dans l’ACR BI-RADS Atlas.
       
      Usage préconisé : L'application logicielle Quantra est conçue pour être utilisée avec des images mammographiques acquises au moyen de systèmes de mammographie numériques. Le logiciel Quantra calcule la densité mammaire volumétrique sous forme d'un rapport de tissu fibroglandulaire et d'estimations du volume total du sein. Le logiciel Quantra fournit également la densité mammaire surfacique sous forme d'un rapport de la surface du tissu fibroglandulaire et d'estimations du volume total du sein. Le logiciel Quantra distingue les densités mammaires en catégories, qui pourraient être utiles dans le rapport des catégories cohérentes de composition mammaire BI-RADS, conformément à certaines réglementations nationales. Le logiciel Quantra rapporte les résultats pour chaque image, sein et patiente, qui sont destinés à aider les radiologues dans l'évaluation de la composition du tissu mammaire. Le logiciel Quantra fournit des informations complémentaires; il ne s'agit pas d'une aide au diagnostic.
      Classe : Dispositif médical de Classe IIa.
      Fabricant : Hologic, Inc.
      Lire attentivement les instructions figurant dans le manuel d’utilisation.

      Fiches de sécurité

      2797

      Hologic BV, Da Vincilaan 5, 1930 Zaventem, Belgium.

      Numéro de l’organisme notifié, le cas échéant

      Ce site Internet est exclusivement réservé aux professionnels de santé
      Date de la dernière mise à jour du site Internet 17 mars 2026
      5-7 Rue de l’Amiral Courbet, 94160 Saint-Mandé, France