Marqueurs de site de biopsie mammaire

Des formes différentes avec des options pour une grande visibilité à long terme. Conçus pour vous permettre d’identifier les sites en toute confiance.

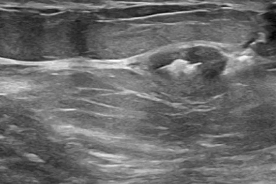
Marqueurs de sites de biopsie mammaire de différentes formes

    Présentation

    Documents

    Formation

    Une gamme complète

    La gamme Hologic de marqueurs de sites de biopsie se décline en plusieurs formes, calibres et longueurs. Les marqueurs sont compatibles avec les biopsies guidées par radiographie, échographie et IRM.  Tous les marqueurs sont fournis avec un dispositif de déploiement ergonomique et facile à utiliser.

    Marqueurs pour site de biopsie Tumark®

    Conçus intelligemment pour offrir une visibilité à long terme. Tous les marqueurs Tumark sont des marqueurs permanents non bioabsorbables, biocompatibles, offrant une excellente visibilité et conçus pour minimiser les mouvements.1

    Marqueurs de site de biopsie SecurMark®

    Conçu pour minimiser les mouvements,2 ce marqueur est très visible sous échographie lors de son déploiement et l’est encore 6 semaines après la biopsie, ce qui est crucial en cas d’interventions futures sur le sein.3 Il se compose de deux éléments : un marqueur permanent et un filet de suture bioabsorbable.

    Marqueurs pour site de biopsie TriMark®

    Conçus pour les patientes avec de petits seins et les lésions superficielles. Déploiement en douceur du marqueur sur le site de biopsie grâce à la pointe biseautée à l’extrémité rigide.

    Illustration du continuum des soins de santé mammaire d’Hologic avec la radiologie

    Déverrouillez les avantages du temps

    Le continuum de soins en santé mammaire offre des solutions intégrées pour une plus grande fiabilité clinique, une efficacité du flux de travail et des soins attentionnés aux patientes. Il permet à plus de femmes de vivre plus longtemps en meilleure santé.

    La gamme de marqueurs de sites de biopsie mammaire fait partie de la solution de localisation et de marquage d’Hologic.

    Identifier en toute confiance

    Les études montrent que les marqueurs de sites de biopsie Tumark Professional X, Q et Vision sont précis et faciles à utiliser.1

    85 %

    déclarent que la visibilité sous échographie était bonne à excellente lors du déploiement1

    92 %

    des marqueurs ont été déployés avec précision dans la zone prévue1

    99 %

    sont d’accord pour dire que le dispositif est facile à utiliser1

    Femme dans un hôpital virtuel avec une salle de chirurgie mammaire et un laboratoire de pathologie

    Visitez notre hôpital virtuel

    Parcourir notre portfolio de solutions de santé mammaire en 3D. Découvrez comment vous pouvez exploiter le gain de temps sur l’ensemble du continuum de soins en santé mammaire.

    Parcourir la gamme complète de marqueurs de site de biopsie

    Galerie d’images

    Preuves. Connaissances. Collaboration.

    Notre portail dédié à la formation contribue à l’amélioration des soins aux patients grâce à du contenu de qualité, à la diffusion de preuves cliniques et scientifiques, et à la collaboration avec la communauté médicale.

    Perspectives

    Des radiologues examinant une mammographie par tomosynthèse sur un écran Des radiologues examinant une mammographie par tomosynthèse sur un écran

    Résultats de l’étude ToSyMa, un avenir en 3D pour le dépistage du cancer du sein

    Femme assise devant un mammographe avec une professionnelle de santé à ses côtés. Femme assise devant un mammographe avec une professionnelle de santé à ses côtés.

    Programmes de dépistage du cancer du sein et du col de l'utérus, aujourd'hui et dans le futur

    Femmes riant sur une plage Femmes riant sur une plage

    L’indice mondial de la santé des femmes d’Hologic exploite la puissance des données pour promouvoir la santé des femmes

      Références :
      1. Données internes Hologic. DHM-06169, Rev. 001. *Basé sur l’étude de collecte de données Tumark®, menée en 2017 par 3 médecins au sein de 3 hôpitaux sur 90 positions de marqueurs.
      2. Yen P, Dumas S, Albert A, et al. Post-Vacuum-Assisted Stereotactic Core Biopsy Clip Displacement: A Comparison Between Commercially Available Clips and Surgical Clip. Can Assoc Radiol J. 2018 Feb;69(1):10-15. doi: 10.1016/j.carj.2017.08.004. PMID: 29458952. Devices show reduced displacement when compared to traditional metal surgical clips (28% and 27% vs 38% displacement, p = 0.001 and p = 0.0001). Visibility is dependent on surrounding tissue, experience may vary.
      3. Pinkney DM, Shah BA. Prospective Comparative Study to Evaluate the Sonographic Visibility of Five Commercially Available Breast Biopsy Markers. Journal of Diagnostic Medical Sonography. 2013;29(4):151-158. doi:10.1177/8756479313486962. *45.4 % of respondence rated SecurMark high sonographic visibility after 6-weeks post procedure, 4x more than the Gel Mark UltraCor™
      4. Données internes Hologic. MISC-07876, Rev 001, attachment 2. Rüland 2018 (n=50), Kuemmel 2020 (n=300) PMCF Hologic survey (n=29).
      5. Données internes Hologic. MISC-07876, Rev 001, attachment 2. Appendix G, Customer Feedback Survey.
      6. Données internes Hologic. MISC-07876, Rev 001, attachment 2. Flores-Funes 2021 (n=60), Jain 2017 (n=9), Siegmann 2009 (n=29), Wienbeck 2017 (n=3), Stahl 2021 (n=114), Rüland 2018 (n=50), Woodard 2019 (n=1).
      7. Données internes Hologic. MISC-07876, Rev 001, attachment 2 , Attachment 45. Flores-Funes 2021 (n=60), Hyde 2019 (n=50), Siegmann 2009 (n=29), Wienbeck 2017.
      8. Données internes Hologic. MISC-07876, Rev 001, attachment 2. Flores-Funes 2021 (n=60), Jain 2017 (n=9), Siegmann 2009 (Woodard 2019 (n=1)n=29), Wienbeck 2017 (n=3), Stahl 2021 (n=49).
       
      Usage préconisé :

      TriMark
      Le système de marquage de site de biopsie TriMark pour ATEC / Eviva est indiqué pour le marquage d'un site de biopsie ouverte ou percutanée en vue du marquage radiographique du site de biopsie.

      Tumark
      Les appareils Tumark Professional X for Eviva, Tumark professional X for Brevera, Tumark Professional Q for Eviva et Tumark professional Q for Brevera, Tumark Vision for Eviva et Tumark Vision for Brevera sont conçus pour attacher un marqueur aux tissus mous du site d’opération chirurgicale au cours d’une intervention percutanée. L’usage d’un marqueur radiographique et radiologique est indiqué afin de marquer le site d’opération chirurgicale dans le sein, après une intervention percutanée. L’usage conjoint de techniques d’imagerie par résonance magnétique (IRM) est contre-indiqué. L’utilisation de ce produit est contre indiquée chez les patients souffrant d’une sévère allergie au nickel. 

      SecurMark
      Le marqueur de site de biopsie SecurMark est indiqué pour le marquage radiographique permanent de sites sur des tissus mous.
      Classe :
      TriMark & Tumark: Dispositif médical de Classe IIb.
      SecurMark: Dispositif médical de Classe III.
      Fabricant :
      TriMark & Tumark: Somatex Medical Technologies 
      SecurMark: Hologic, Inc.
      Lire attentivement les instructions figurant dans le manuel d’utilisation.

      Fiches de sécurité

      2797
      0482

      Hologic BV, Da Vincilaan 5, 1930 Zaventem, Belgium.

      Numéro de l’organisme notifié, le cas échéant
      Information du représentant CE, le cas échéant

      Ce site Internet est exclusivement réservé aux professionnels de santé
      Date de la dernière mise à jour du site Internet 17 mars 2026
      5-7 Rue de l’Amiral Courbet, 94160 Saint-Mandé, France